Filling Upgrades

Replace old, cracking, or discolored fillings with a long-lasting upgrade.

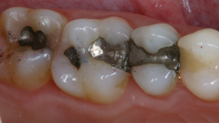
Over the past 40 years, many advances have been made in the materials and techniques used to fill cavities and repair decayed teeth. When fillings were first introduced, they were all made of amalgam, a metal mixture containing mercury. These metal mercury fillings, which are still used today, are not desirable for a variety of reasons: they contain mercury, a hazardous chemical which actually is released from the fillings as a vapor as they age.  They are prone to corrosion and expansion which, over time,  can weaken or crack the teeth.  And they are ugly,  often turning black with age.  For all of these reasons, dental filling upgrades that use metal-free materials are more popular than ever.

Aside from the reasons listed above, white filling upgrades offer many benefits over amalgam. When you upgrade your metal fillings to porcelain or composite, they are:

  • Custom-made to create a better seal over your teeth,

  • Stronger and harden much more quickly than amalgam

  • Match the natural color and sheen of your teeth,

  • More stable and don't corrode or expand/contract in extreme hot and cold temperatures- which can cause your teeth to be sensitive and weaken or crack over time.

Accepting New Patients

Schedule Your Free Consultation and Meet with a Dental Expert

REquest an appointment

Experience the natural beauty of a healthy smile!

The procedure to replace your amalgam fillings is relatively simple. The amalgam is removed using a drill under cold water to prevent the mercury from vaporizing. Once the metal is thoroughly removed, the fillings can be directly replaced or for larger restorations, an impression of the teeth that need new fillings is taken. This impression is used to build custom-made porcelain fillings to be put into the metal mercury filling’s  place, leaving you with a stronger, healthier and more natural-looking tooth restoration.

MORE ABOUT FILLING UPGRADES

Frequently Asked Questions

  • Amalgam fillings are certainly very visible because of being such a different color and texture from tooth enamel. Tooth-colored composite fillings blend in much better. But appearance isn't the only reason to replace them. As they age, metal mercury fillings can rust and corrode, causing them to expand, weakening or cracking the tooth they were placed in. They also expand and contract with temperature changes which also weakens the tooth they were placed in.

  • No, it's controversial and still being debated. The FDA stated in September, 2006 that it stands by its previous decision that mercury in dental fillings isn't harmful unless you're allergic to mercury. But several consumer groups dispute this conclusion. They used to think that the mercury was bound up in the filling material but the fact is that mercury vapor is released constantly from your metal mercury fillings. There are also studies that show that the mercury in the filling material can end up in all of the major bodily organs and also crosses the placental barrier so if a mother has metal mercury fillings, the mercury will also be found in the organs of the developing fetus. SInce tooth-colored fillings are stronger, more esthetic and don't contain mercury, we can't see a good reason for using metal mercury fillings any longer and do not offer them in our practice.

  • They're a mix of silver, copper, tin and mercury, with mercury making up more than 50% of their content by weight.

  • As we continue on with our daily chewing, teeth brushing, and perhaps teeth grinding, the mercury in the filling very slowly gives off mercury vapor, which is absorbed by our soft mouth tissue and builds up in the body.

    Many studies have been done worldwide to discover where in the body it resides, and have found it in the brain, adrenal glands, and breast milk, to give just a few examples. Some studies have connected it with diseases such as Alzheimer's, Parkinson's and Multiple Sclerosis.

    Despite the many studies, agreement hasn't yet been established as to exactly how mercury from fillings does hurt us, or even whether in fact it does.

  • They can be made of dental bonding material, which comes in a number of tooth shades, and is like putty in consistency.

  • They have many advantages. Metal mercury fillings are simply packed into the cavity and therefore need the right shaped cavity to hold them in, which means more healthy tooth tissue must be removed. White fillings are bonded to the tooth, holding it together and thus strengthening it.

    Very tiny cavities can be given a white filling, as it flows into the cavity, rather than being packed into it. In some such cases, you may not even need anesthetics.

    The dental composite used for white fillings insulates the tooth from extreme temperature changes.

Get the Smile You Deserve

Schedule Your Free Consultation Today

click here to begin